Companies / Abcam / Anti-ds DNA antibody [35I9 DNA] - BSA and Azide free
Abcam

Anti-ds DNA antibody [35I9 DNA] - BSA and Azide free | Abcam

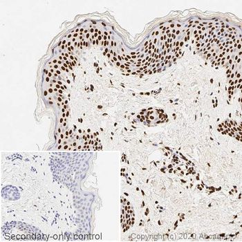
Mouse Monoclonal ds DNA antibody. Carrier free. Suitable for IHC-P and reacts with Human samples. Cited in 141 publications.

Reviews


No reviews yet

ABOUT THE COMPANY

Helping to accelerate the next breakthrough in drug discovery, diagnostics and basic research.