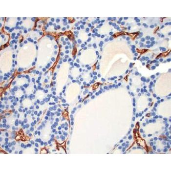
CD34, a single chain transmembrane glycoprotein, is selectively expressed on human lymphoid and myeloid hematopoietic progenitor cells. Staining for CD34 has been used to measure angiogenesis, which reportedly predicts tumor recurrence.
Amerigo Scientific is a distribution company focused on providing critical products and services to the biomedical and life science research communities. Although a new company, Amerigo Scientific's founder has had more than 20 years of rich experience in the biomedical and biochemical fields, and has established close contacts with key personnel in...
READ MORE
Amerigo Scientific is a distribution company focused on providing critical products and services to the biomedical and life science research communities. Although a new company, Amerigo Scientific's founder has had more than 20 years of rich experience in the biomedical and biochemical fields, and has established close contacts with key personnel in top international pharmaceutical and biotech companies, academic research institutes, and government research agencies.
As our business continues to grow, so does our organizational structure. We have a professional team, equipped with perfect technical support and thoughtful customer service. Most of our employees own a graduate (Ph.D. or master) degree in life science, so we can understand customers' questions or concerns and are always ready to provide individualized customer service with high standards.
We assure that our manufacturers' products are the most wanted. For any of your requirements, we guarantee to provide you with cutting-edge solutions and products and efficient services.