No gift card matches the entered value.
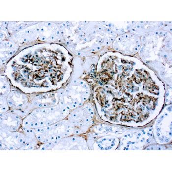
Rabbit Polyclonal Fibronectin antibody. Suitable for WB, IHC-P, ICC/IF and reacts with Mouse, Human samples. Cited in 976 publications. Immunogen corresponding to Native Full Length Protein corresponding to Human FN1.
Share your experience with this product- write a review!
Please enter the text shown below:
See more newsletter categories
Add a Review
Accepted reviews earn 250 leaderboard points/review. Reviews must be unique (no copy/paste of same reviews).
Log in or register to review products