Companies / Abcam / Anti-Collagen IV antibody
Abcam

Anti-Collagen IV antibody | Abcam

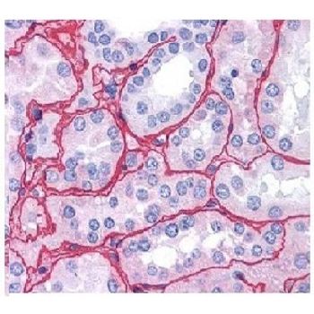
Rabbit Polyclonal COL4A1 antibody. Suitable for IHC-P, IP, ELISA, WB, IF, IHC-FoFr, ICC/IF, IHC-Fr, IHC-FrFl and reacts with Human, Cow, Mouse, Rat, African green monkey, Pig, Dog, Hamster, Chinese hamster, Zebrafish, Syrian hamster samples. Cited in 920 publications. Immunogen corresponding to Native Full Length Protein corresponding to Human COL4A1.

Reviews


No reviews yet

ABOUT THE COMPANY

Helping to accelerate the next breakthrough in drug discovery, diagnostics and basic research.