Companies / Amerigo Scientific / Anti-PHC1 antibody
Amerigo Scientific

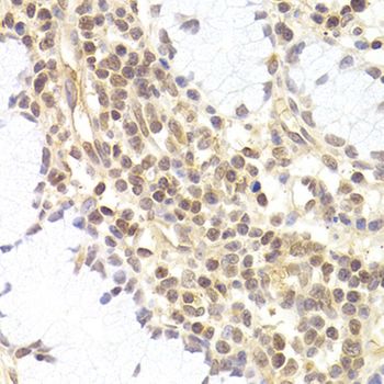
Anti-PHC1 antibody | Amerigo Scientific

This gene is a homolog of the Drosophila polyhomeotic gene, which is a member of the Polycomb group of genes. The gene product is a component of a multimeric protein complex that contains EDR2 and the vertebrate Polycomb protein BMH1. The gene product, the EDR2 protein, and the Drosophila polyhomeotic protein share 2 highly conserved domains, named homology domains I and II. These domains are involved in protein-protein interactions and may mediate heterodimerization of the protein encoded by this gene and the EDR2 protein.

Reviews


No reviews yet

ABOUT THE COMPANY

Amerigo Scientific is a distribution company focused on providing critical products and services to the biomedical and life science research communities. Although a new company, Amerigo Scientific's founder has had more than 20 years of rich experience in the biomedical and biochemical fields, and has established close contacts with key personnel in...
READ MORE