Santa Cruz Biotechnology

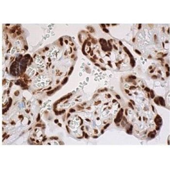
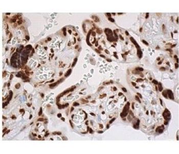
Bcr (7C6) | Santa Cruz Biotechnology

mouse monoclonal IgG2a; The Bcr gene, mapping on chromosome 22, was initially identified on the basis of its fusion with the c-Abl proto-oncogene on chromosome 9 resulting in the generation of the Philadelphia chromosome in 90-95% of patients with chronic myelogenous leukemia (CML). The Bcr gene encodes for the Breakpoint cluster region protein (Bcr). A consequence of this translocation is the generation of a Bcr/c-Abl mRNA encoding an activated c-Abl protein kinase. The Bcr gene has been shown to encode a GTPase-activating protein (GAP) specific for the Ras-related GTP-binding protein, Rac 1 p21. While it has been speculated that the Bcr protein may also stimulate Rac 2 p21 GTPase activity, it has no effect on Ras p21 or Rho p21 GTPases. It is of interest that the GAP domain of Bcr maps outside of the region that remains on chromosome 22 (Philadelphia chromosome) in CML.

Reviews


No reviews yet

ABOUT THE COMPANY

Santa Cruz Biotechnology is a world leader in the development of products for the biomedical research market. Over the past 30+ years, the Company has focused on the ongoing development of research antibodies, siRNA and CRISPR Gene editing tools, biochemicals, labware and more recently has expanded into animal health care products. Santa Cruz Biotechnology has the highest commitment to quality and customer service.

  • See More