Santa Cruz Biotechnology

CD8 (UCH-T4) | Santa Cruz Biotechnology

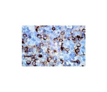
mouse monoclonal IgG2a; CD8 Antibody (UCH-T4) is an IgG2a κ mouse monoclonal CD8 antibody that detects CD8 of human origin by IP, IF, IHC(P) and FCM. CD8 Antibody (UCH-T4) is available as the non-conjugated anti-CD8 antibody form, as well as multiple conjugated forms of anti-CD8 antibody, including agarose, HRP, PE, FITC and multiple Alexa Fluor® conjugates. The T cell receptor (TCR) is a heterodimer composed of either α and β or γ and δ chains. CD3 chains and the CD4 or CD8 co-receptors are also required for efficient signal transduction through the TCR. The TCR is expressed on T helper and T cytotoxic cells that can be distinguished by their expression of CD4 and CD8; T helper cells express CD4 proteins and T cytotoxic cells display CD8. CD8 (also designated Leu 2 or T8), a cell surface glycoprotein, is a two chain complex (αα or αβ) receptor that binds class I MHC molecules presented by the antigen-presenting cell (APC). A primary function of CD8 is to facilitate antigen recognition by the TCR and to strengthen the avidity of the TCR-antigen interactions. An additional role for CD8-expressing T cells may be to maintain low levels of HIV expression.

Reviews


No reviews yet

ABOUT THE COMPANY

Santa Cruz Biotechnology is a world leader in the development of products for the biomedical research market. Over the past 30+ years, the Company has focused on the ongoing development of research antibodies, siRNA and CRISPR Gene editing tools, biochemicals, labware and more recently has expanded into animal health care products. Santa Cruz Biotechnology has the highest commitment to quality and customer service.

  • See More