Companies / Santa Cruz Biotechnology / nm23-H1 (NM301)
Santa Cruz Biotechnology

nm23-H1 (NM301) | Santa Cruz Biotechnology

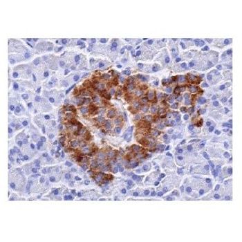
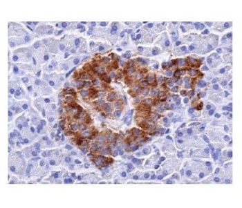
mouse monoclonal IgG1; nm23-H1 Antibody (NM301) is an IgG1 κ mouse monoclonal nm23-H1 antibody (also designated NDKA antibody, NME/NM23 Nucleoside Diphosphate Kinase 1 antibody, NDPKA antibody, NM23 antibody, Non-Metastatic Cells 1 Protein (NM23A) Expressed In antibody, Tumor Metastatic Process-Associated Protein antibody, Metastasis Inhibition Factor Nm23 antibody, Nucleoside Diphosphate Kinase A antibody, Granzyme A-Activated DNase antibody, NDPK-A antibody, or NDK A antibody) that detects the nm23-H1 protein of mouse, rat and human origin by IP, IF and IHC(P). nm23-H1 Antibody (NM301) is available as both the non-conjugated anti-nm23-H1 antibody form, as well as multiple conjugated forms of anti-nm23-H1 antibody, including agarose, HRP, PE, FITC and multiple Alexa Fluor® conjugates. The nm23 gene, a potential suppressor of metastasis, was originally identified by differential hybridization between two murine melanoma sub-lines, one with a high and the second with a low metastatic capacity. Highly metastatic sub-lines exhibit much lower levels of nm23 than less metastatic cells. Based on sequence analysis, nm23 appears highly related to nucleotide diphosphate kinases (NDP). In humans, NDP kinases A and B are identical to two isotypes of human nm23 homologs, namely nm23-H1 and H2, respectively. nm23-H2 is identical in sequence to PuF, a transcription factor that binds to nuclease-hypersensitive elements at positions 142 to 115 of the human C-Myc promotor.

Reviews


No reviews yet

ABOUT THE COMPANY

Santa Cruz Biotechnology is a world leader in the development of products for the biomedical research market. Over the past 30+ years, the Company has focused on the ongoing development of research antibodies, siRNA and CRISPR Gene editing tools, biochemicals, labware and more recently has expanded into animal health care products. Santa Cruz Biotechnology has the highest commitment to quality and customer service.

  • See More