Companies / Abcam / Anti-Ras (mutated Q61R) antibody [SP174](AB227658)
Abcam

Anti-Ras (mutated Q61R) antibody [SP174](AB227658) | Abcam

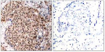
Anti-Ras antibody (Mutated-Q61R) [SP174] ab227658 is a rabbit monoclonal antibody that is used in Ras western blotting, IHC and flow cytometry. Suitable for human samples.

- Recombinant format for unrivaled batch-batch consistency: no need for same-lot requests
- Validated on the Leica Microsystems BOND™ RX automated IHC staining platform for Rabbit IHC
- Specificity and sensitivity confirmed in IHC with multi-tissue microarray (TMA) validation

Reviews


No reviews yet

ABOUT THE COMPANY

Helping to accelerate the next breakthrough in drug discovery, diagnostics and basic research.