Companies / Amerigo Scientific / Anti-FUT4 antibody
Amerigo Scientific

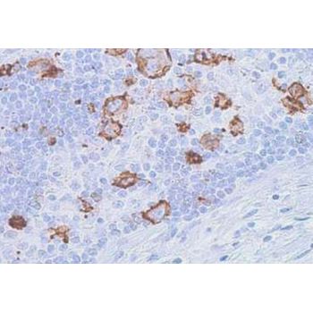
Anti-FUT4 antibody | Amerigo Scientific

3‐fucosyl‐N‐acetyllactosamine (3‐FAL) or CD15 or X‐hapten plays a role in mediating phagocytosis, bactericidal activity, and chemotaxis. It is present on >95% of granulocytes including neutrophils and eosinophils and to a lesser degree on monocytes. CD15 is also expressed in Reed‐Sternberg cells and some epithelial cells. CD15 antibody is very useful in the identification of Hodgkin’s disease. CD15 is occasionally expressed in large cell lymphomas of both B and T phenotypes which otherwise have a quite distinct histological appearance.

Reviews


No reviews yet

ABOUT THE COMPANY

Amerigo Scientific is a distribution company focused on providing critical products and services to the biomedical and life science research communities. Although a new company, Amerigo Scientific's founder has had more than 20 years of rich experience in the biomedical and biochemical fields, and has established close contacts with key personnel in...
READ MORE