Companies / Santa Cruz Biotechnology / p27 Kip1 (F-8) PE
Santa Cruz Biotechnology

p27 Kip1 (F-8) PE | Santa Cruz Biotechnology

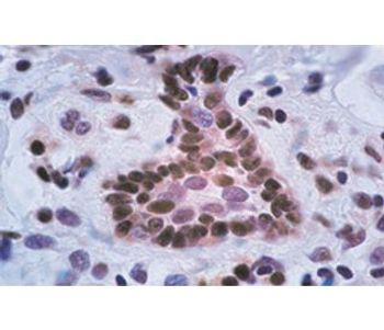
mouse monoclonal IgG1; p27 Kip1 Antibody (F-8) is an IgG1 κ mouse monoclonal p27 Kip1 antibody (also designated p27 antibody or KIP1 antibody) that detects the p27 Kip1 protein of mouse, rat and human origin by WB, IP, IF, IHC(P), FCM and ELISA. p27 Kip1 Antibody (F-8) is available as both the non-conjugated anti-p27 antibody form, as well as multiple conjugated forms of anti-p27 Kip1 antibody, including agarose, HRP, PE, FITC and multiple Alexa Fluor® conjugates. Cell cycle progression is regulated by a series of cyclin-dependent kinases consisting of catalytic subunits, designated Cdks, as well as activating subunits, designated cyclins. Orderly progression through the cell cycle requires the activation and inactivation of different cyclin-Cdks at appropriate times. A series of proteins has recently been described that function as "mitotic inhibitors." These include p27 Kip1, the levels of which are elevated upon DNA damage in G1 in a p53-dependent manner; p16; and a more recently described p16-related inhibitor designated p15. A p21-related protein, p27 Kip1, has been described as a negative regulator of G1 progression and speculated to function as a possible mediator of TGFβ-induced G1 arrest. p27 Kip1 interacts strongly with D-type cyclins and Cdk4 in vitro and, to a lesser extent, with cyclin E and Cdk2.

Reviews


No reviews yet

ABOUT THE COMPANY

Santa Cruz Biotechnology is a world leader in the development of products for the biomedical research market. Over the past 30+ years, the Company has focused on the ongoing development of research antibodies, siRNA and CRISPR Gene editing tools, biochemicals, labware and more recently has expanded into animal health care products. Santa Cruz Biotechnology has the highest commitment to quality and customer service.

  • See More