Companies / Abcam / Anti-CD31 antibody
Abcam

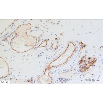
Anti-CD31 antibody | Abcam

Rabbit Polyclonal CD31 antibody. Suitable for IHC-P and reacts with Human samples. Cited in 2234 publications.

Reviews


No reviews yet

ABOUT THE COMPANY

Helping to accelerate the next breakthrough in drug discovery, diagnostics and basic research.
  • See More