Companies / Santa Cruz Biotechnology / CD35 (E-11) AC
Santa Cruz Biotechnology

CD35 (E-11) AC | Santa Cruz Biotechnology

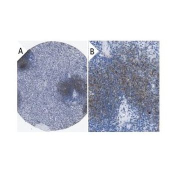
mouse monoclonal IgG1; CD35 Antibody (E-11) is an IgG1 κ mouse monoclonal CD35 antibody (also designated CR1 antibody, Complement C3b/C4b Receptor 1 (Knops Blood Group) antibody, Complement Receptor Type 1 antibody, C3b/C4b Receptor antibody, CD35 Antigen antibody, C3BR antibody, KN antibody, C3-Binding Protein antibody, or C4BR antibody) that detects the CD35 protein of human origin by WB, IP, IF, IHC(P), FCM and ELISA. CD35 Antibody (E-11) is available as both the non-conjugated anti-CD35 antibody form, as well as multiple conjugated forms of anti-CD35 antibody, including agarose, HRP, PE, FITC and multiple Alexa Fluor® conjugates. CD35, also called complement receptor 1 (CR1), functions as the receptor for complement components C3b and C4b, and it mediates the phagocytosis by neutrophils and monocytes of particles coated with C3b or C4b. CD35 is expressed on granulocytes, monocytes, B cells, some NK cells and erythrocytes. CD35 is implicated in systemic lupus erythematosus (SLE), a chronic systemic autoimmune disease characterized by the production of a broad spectrum of autoantibodies against nuclear, cytoplasmic, and cell surface antigens and an overload of the immune complex. There is an increased proteolytic cleavage of leukocyte cell surface CD35 in SLE patients. Sequence analysis suggests that Crry may be the mouse genetic homolog of the CD35 antigen encoded by the human gene CR1.

Reviews


No reviews yet

ABOUT THE COMPANY

Santa Cruz Biotechnology is a world leader in the development of products for the biomedical research market. Over the past 30+ years, the Company has focused on the ongoing development of research antibodies, siRNA and CRISPR Gene editing tools, biochemicals, labware and more recently has expanded into animal health care products. Santa Cruz Biotechnology has the highest commitment to quality and customer service.