Companies / Santa Cruz Biotechnology / CD38 (AT1) HRP
Santa Cruz Biotechnology

CD38 (AT1) HRP | Santa Cruz Biotechnology

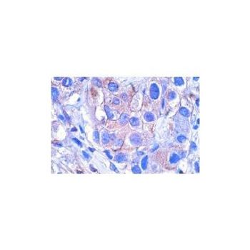
mouse monoclonal IgG1; CD38 Antibody (AT1) is an IgG1 κ mouse monoclonal CD38 antibody that detects CD38 of human origin by WB, IP, IF, IHC(P) and FCM. CD38 Antibody (AT1) is available as the non-conjugated anti-CD38 antibody form, as well as multiple conjugated forms of anti-CD38 antibody, including agarose, HRP, PE, FITC and multiple Alexa Fluor® conjugates. CD38 is a type II integral membrane glycoprotein which is present on early B and T cell lineages and activated B and T cells but is absent from most mature resting peripheral lymphocytes. CD38 is also found on thymocytes, pre-B cells, germinal center B cells, mitogen-activated T cells, monocytes and Ig-secreting plasma cells. CD38 acts as a NAD glycohydrolase in T lymphocytes. On hematopoietic cells CD38 induces activation, proliferation, and differentiation of mature T and B cells and mediates apoptosis of myeloid and lymphoid progenitor cells. In addition to acting as a signaling receptor, CD38 is also an enzyme capable of producing several calcium-mobilizing metabolites, including cyclic adenosine diphosphate ribose (cADPR). CD38 also plays a role in maintaining survival of an invariant NK T (iNKT) cell subset that preferentially contributes to the maintenance of immunological tolerance.

Reviews


No reviews yet

ABOUT THE COMPANY

Santa Cruz Biotechnology is a world leader in the development of products for the biomedical research market. Over the past 30+ years, the Company has focused on the ongoing development of research antibodies, siRNA and CRISPR Gene editing tools, biochemicals, labware and more recently has expanded into animal health care products. Santa Cruz Biotechnology has the highest commitment to quality and customer service.

  • See More