Companies / Santa Cruz Biotechnology / Estrogen Receptor alpha (F-10) Alexa Fluor® 546
Santa Cruz Biotechnology

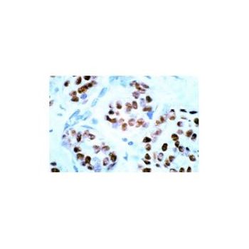
Estrogen Receptor alpha (F-10) Alexa Fluor® 546 | Santa Cruz Biotechnology

mouse monoclonal IgG; Estrogen Receptor alpha Antibody (F-10) is an IgG2a κ mouse monoclonal Estrogen Receptor alpha (also designated ER alpha antibody or ERα antibody) that detects the Estrogen Receptor alpha protein of human origin by WB, IP, IF, IHC(P) and ELISA. Estrogen Receptor alpha Antibody (F-10) is available as both the non-conjugated anti-Estrogen Receptor alpha antibody form, as well as multiple conjugated forms of anti-Estrogen Receptor alpha antibody, including agarose and multiple Alexa Fluor® conjugates. Estrogen receptors (ER) are members of the steroid/thyroid hormone receptor superfamily of ligand-activated transcription factors. Estrogen receptors, including ERα and ERβ, contain DNA binding and ligand binding domains and are critically involved in regulating the normal function of reproductive tissues. They are located in the nucleus, though some estrogen receptors associate with the cell surface membrane and can be rapidly activated by exposure of cells to estrogen. ERα and ERβ have been shown to be differentially activated by various ligands. Receptor-ligand interactions trigger a cascade of events, including dissociation from heat shock proteins, receptor dimerization, phosphorylation and the association of the hormone activated receptor with specific regulatory elements in target genes. Evidence suggests that ERα and ERβ may be regulated by distinct mechanisms even though they share many functional characteristics.

Reviews


No reviews yet

ABOUT THE COMPANY

Santa Cruz Biotechnology is a world leader in the development of products for the biomedical research market. Over the past 30+ years, the Company has focused on the ongoing development of research antibodies, siRNA and CRISPR Gene editing tools, biochemicals, labware and more recently has expanded into animal health care products. Santa Cruz Biotechnology has the highest commitment to quality and customer service.