Companies / Santa Cruz Biotechnology / Integrin αV (P2W7)
Santa Cruz Biotechnology

Integrin αV (P2W7) | Santa Cruz Biotechnology

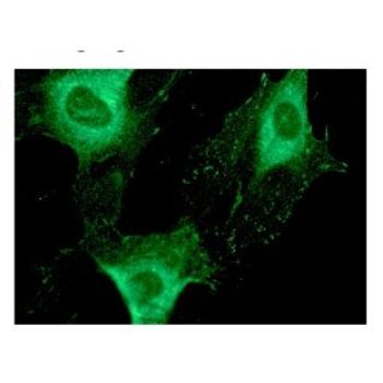
mouse monoclonal IgG1; Integrin αV Antibody (P2W7) is an IgG1 κ mouse monoclonal Integrin alpha V antibody (also designated ITGAV antibody, integrin subunit alpha V antibody, or CD51 antibody) that detects the Integrin alpha V protein of human origin by WB, IP, IF, IHC(P) and ELISA. Integrin αV Antibody (P2W7) is available as both the non-conjugated anti-Integrin alpha V antibody form, as well as multiple conjugated forms of anti-Integrin alpha V antibody, including agarose, HRP, PE, FITC and multiple Alexa Fluor® conjugates. Integrins are heterodimers composed of noncovalently associated transmembrane a and b subunits. The 16 a and 8 b subunits heterodimerize to produce more than 20 different receptors. Most integrin receptors bind ligands that are components of the extracellular matrix, including Fibronectin, Collagen and Vitronectin. Certain integrins can also bind to soluble ligands such as Fibrinogen, or to counterreceptors on adjacent cells such as the intracellular adhesion molecules (ICAMs), leading to aggregation of cells. Ligands serve to cross-link or cluster integrins by binding to adjacent integrin receptors; both receptor clustering and ligand occupancy are necessary for the activation of integrin-mediated responses. In addition to mediating cell adhesion and cytoskeletal organization, integrins function as signaling receptors. Signals transduced by integrins play a role in many biological processes, including cell growth, differentiation, migration and apoptosis.

Reviews


No reviews yet

ABOUT THE COMPANY

Santa Cruz Biotechnology is a world leader in the development of products for the biomedical research market. Over the past 30+ years, the Company has focused on the ongoing development of research antibodies, siRNA and CRISPR Gene editing tools, biochemicals, labware and more recently has expanded into animal health care products. Santa Cruz Biotechnology has the highest commitment to quality and customer service.

  • See More