Santa Cruz Biotechnology

IL-1α (B-7) | Santa Cruz Biotechnology

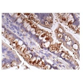
mouse monoclonal IgG2b; IL-1α Antibody (B-7) is an IgG2b κ mouse monoclonal IL-1α antibody that detects IL-1α of human origin by WB, IP, IF and IHC(P). IL-1α Antibody (B-7) is available as the non-conjugated anti-IL-1α antibody form, as well as multiple conjugated forms of anti-IL-1α antibody, including agarose, HRP, PE, FITC and multiple Alexa Fluor® conjugates. Two forms of interleukin-1, designated IL-1α and IL-1β, have been described. Although encoded by distinct genes and exhibiting roughly only 25% sequence identity, IL-1α and IL-1β bind to the same receptor and seem to elicit similar biological responses. IL-1 production is generally thought to be associated with inflammation, but it has also been shown to be expressed during kidney development, thymocyte differentiation and cartilage degradation. IL-1 plays a critical role in the regulation of immune response and inflammation, acting as an activator of T and B lymphocytes and natural killer (NK) cells. In T cells, IL-1 stimulates the production of IL-2 and selectively inhibits IL-4 expression. IL-1 induces B cell proliferation and maturation, and immunoglobulin synthesis. NK cells require IL-1β for production of the anti- pathogen IFN-γ. IL-1 has also been implicated in several pathological conditions including rheumatoid arthritis, inflammatory bowel disease and atherosclerosis.

Reviews


No reviews yet

ABOUT THE COMPANY

Santa Cruz Biotechnology is a world leader in the development of products for the biomedical research market. Over the past 30+ years, the Company has focused on the ongoing development of research antibodies, siRNA and CRISPR Gene editing tools, biochemicals, labware and more recently has expanded into animal health care products. Santa Cruz Biotechnology has the highest commitment to quality and customer service.